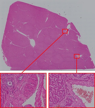
Betrachtung von Lebergewebe
Erfassen von Bildern mit hoher Auflösung
Da die Leber eine wichtige Rolle beim Stoffwechsel, bei der Nahrungsaufnahme, der Verdauung und anderen Prozessen spielt, wird medizinische Forschung betrieben, um Erkrankungen, wie Fettleber, Zirrhose und Leberkrebs zu untersuchen.
Da die Schnitte der Leber im Allgemeinen groß sind, müssen zumeist kleine Bereiche an mehreren Stellen betrachtet werden.
Aufnahmen können analysiert und mit hoher Auflösung angezeigt werden.
-

Bildzusammensetzung
-

Objektiv: CFI Plan Apo λ 20x
Bildzusammensetzung: 19 Bilder × 19 Bilder
Verwendung des kompakten Fluoreszenzmikroskops BZ-X
- Wenn die Probe aufgrund ihrer Größe außerhalb des Betrachtungs- und Messbereichs fällt, lassen sich mithilfe des motorisierten Objekttisches hochauflösende Aufnahmen der gesamten Probe erfassen und anschließend in einem einzigen Bild zusammensetzen.
- Selbst bei geneigten Proben oder Proben mit Höhenunterschieden ist es möglich, ein Bild zu erstellen, auf dem die gesamte Probe scharf ist. Dabei werden mehrere Bilder in Z-Richtung erfasst und nur die Teile gestapelt, die scharf sind.
- Aus der gesamten Leber lässt sich ein zu untersuchender Bereich Leber extrahieren, welcher sich mithilfe der hybriden Zellzählung automatisch messen und analysieren lässt.
- Die für die Berechnung und Messung verwendeten Bedingungen lassen sich über eine Batch-Funktion einfach auf mehrere Bildaufnahmen übertragen.
- Weitere Beispiele für den Einsatz des kompakten Fluoreszenzmikroskops BZ-X in der Forschung:
- [Myelodysplastische Syndrome (MDS)] Stitching, Sectioning und die Z-Stapelfunktion als entscheidende Argumente für die Anschaffung des Fluoreszenzmikroskops BZ am Universitätsklinikum Düsseldorf
- [Neuropathologie] Perfekte Lösung für den diagnostischen Alltag in der Krankenversorgung und der klinischen Forschung am Institut für Neuropathologie der Charité in Berlin
- [Regenerative Medizin] Essentielle Bildgebung für die Betrachtung der gesamten Wirbelsäule
- [Gentherapie] Probenbetrachtung in der Hirnforschung
- [Behandlung von Herzkrankheiten] Einfache Betrachtung vom gesamten Rattenherz bis hin zu dessen Zellen
- [Krebsbehandlung] Fluoreszenzmikroskop mit integrierter Dunkelkammer verändert die Forschung in starkem Maße
- [Immunsystem] Beitrag der Modellreihe BZ zum Verständnis des pathologischen Asthmamodells
- [Biomaterialien] Förderung der Effizienz in der Forschung mit kompakten, benutzerfreundlichen Mikroskopen


