Beitrag der Modellreihe BZ zum Verständnis des pathologischen Asthmamodells

- Dr. Toshinori Nakayama
-
Professor der Abteilung für Immunologie, Medizinische Fakultät der Universität Chiba
Leiter des Kompetenzzentrums „Medical Global COE Program“
- Regulation des Immunsystems für eine grundlegende Veränderung in der medizinischen Versorgung
- 01. Vorreiter auf dem Gebiet der Erforschung immunologischer Störungen
- 02. Herausforderung das immunologische Gedächtnis zu verstehen
- 03. Entwicklung eines internationalen Forschungszentrums mit dem Global COE Program
- 04. Beitrag der Modellreihe BZ zum Verständnis des pathologischen Asthmamodells
- 05. Steigende Erwartungen an Nachwuchsforscher auf dem Gebiet der Regulation des Immunsystems
- Allgemeines: Immunzellen
- Über Dr. Toshinori Nakayama
Regulation des Immunsystems für eine grundlegende Veränderung in der medizinischen Versorgung
Heute schreitet die Behandlung von Funktionsstörungen aufgrund neuer Forschungsergebnisse rasch voran, da wir die Funktionsweise der menschlichen Immunität zunehmend besser verstehen. Neue Behandlungsansätze wurden unter dem Aspekt des Immunsystems nicht nur für Allergien, sondern auch für refraktäre Erkrankungen wie Krebs und Herz-Kreislauf-Erkrankungen in Betracht gezogen. Während Forschungsinstitute weltweit in der Forschung und Entwicklung in diesem Bereich in hartem Wettbewerb stehen, hat die Chiba-Universität nahtlos an dem gesamten Prozess von der neuesten Grundlagenforschung bis zur Translationsforschung, einschließlich klinischer Studien, gearbeitet. Seit dem Jahr 2008 fördert die Universität das Global COE-Programm als internationales Forschungszentrum für die Regulation des Immunsystems zur Krankheitsbekämpfung. Unter der Leitung von Dr. Toshinori Nakayama, Professor für Immunologie und Leiter des Zentrums, konzentriert sich die Chiba-Universität auf die Nachwuchsförderung von Forschern und auf die Forschung zur Heilung einer Reihe von refraktären Krankheiten. Die Bemühungen, eine fortgeschrittene medizinische Versorgung zu gewährleisten, schreiten zügig voran.
01. Vorreiter auf dem Gebiet der Erforschung immunologischer Störungen
Die moderne Immunologie begann, als Edward Jenner in England vor etwa zwei Jahrhunderten die Pockenimpfung zur Vorbeugung der Pockenerkrankung entwickelte. Durch die Leistungen anderer großen Persönlichkeiten der Vergangenheit - darunter Louis Pasteur, Robert Koch und Kitazato Shibasaburo - hat die Immunologie bedeutende Fortschritte gemacht, und die Menschheit hat eine Infektionskrankheit nach der anderen überwunden und sie zu einer Bedrohung der Vergangenheit gemacht.
Der menschliche Körper verfügt über biologische Abwehrmechanismen - hervorragende Mechanismen, die den Körper vor eindringenden Krankheitserregern schützen. Es gibt zwei Arten der biologischen Abwehr: die angeborene biologische Abwehr, auch natürliche Immunität genannt, mit der Menschen geboren werden und welche die Aufnahme und Zersetzung von Krankheitserregern durch weiße Blutkörperchen einschließt, und die adaptive biologische Abwehr, auch erworbene Immunität genanntn, deren Funktion darin besteht, die Bekämpfung von Krankheitserregern zu erlernen, auf die die angeborene Immunität nicht reagieren kann.
Bei Letzterer erkennt die Immunfunktion Bakterien und Viren, die in den Körper eindringen, und merkt sich diese Informationen, um eine Resistenz für die nächste Invasion desselben Erregers vorzubereiten. Unter den Zellen, die an der Immunität beteiligt sind, gibt es Makrophagen, die Antigene aufnehmen und Informationen über sie erhalten, B-Zellen, die Antikörper produzieren, und T-Zellen, die von Makrophagen erhaltene Antigeninformationen an B-Zellen weitergeben.
Heutzutage ist die Grundlagenforschung über das Immunsystem erheblich vorangekommen, und wir gewinnen ein besseres Verständnis über die Funktionen einzelner Immunozyten. Im Zuge der genaueren Erforschung dieser Zellen, geraten immunsystembasierte Behandlungsansätze für Funktionsstörungen zunehmend in den Fokus der Öffentlichkeit. Beispielsweise haben im Hinblick auf die rheumatoide Arthritis Erkenntnisse aus der Immunsystemforschung innovative Therapien hervorgebracht, die heute weit verbreitet sind. Selbst für Krankheiten, die bisher als unheilbar galten, öffnen sich allmählich Wege zur Behandlung.
Forschungsinstitute auf der ganzen Welt erforschen neue Zusammenhänge über das Immunsystem und setzen die daraus gewonnenen Erkenntnisse bei der Behandlung von Krankheiten ein. Die Chiba-Universität ist eines solcher Institute, das Spitzenforschung betreibt. Hier arbeiten die Medizinische Fakultät und die Fakultät für Pharmazeutische Wissenschaften an der Grundlagenforschung zu den Mechanismen des Immunsystems mit dem Ziel, anhand dieser Grundlagenforschung ein Therapiekonzept für refraktäre immunologische Erkrankungen zu erstellen. Darüber hinaus fördert das auf dem Gelände des Universitätsklinikums eröffnete Zentrum für fortgeschrittene Medizin klinische Studien, um die aus den Erkenntnissen der Grundlagenforschung entwickelten Therapiekonzepte zu untermauern.

Laut Dr. Toshinori Nakayama, Professor für Immunologie an der Medizinischen Fakultät der Chiba-Universität, richtet die Universität ihren Schwerpunkt auf die Behandlung refraktärer immunologischer Störungen, die mit traditioneller medizinischer Versorgung nicht dauerhaft heilbar sind. Das Spektrum der Erkrankungen ist breit gefächert und umfasst Allergien, Krebs, Vaskulitis und Arteriosklerose. Dr. Nakayama äußert sich wie folgt zur Erweiterung der Forschungseinrichtungen an der Chiba-Universität:
„Die Medizinische Fakultät feierte ihr 60-jähriges Bestehen als Teil der Chiba-Universität und mehr als 130 Jahre Geschichte, einschließlich ihrer Zeit als Vorgängerinstitution der Medizinischen Universität Chiba. Die Medizinische Fakultät hat sich von Anfang an mit der Erforschung von Immunität und Allergien befasst, wobei Experten auf jedem Gebiet in gegenseitiger Zusammenarbeit an den neuesten Forschungsergebnissen arbeiten, die von der Grundlagenforschung bis zur klinischen Forschung reichen. Im klinischen Bereich nehmen Professoren, die sich auf immunologische Funktionsstörungen spezialisieren, Stellen in den Abteilungen für Pädiatrie, Innere Medizin, Dermatologie und Otologie ein. Jeder dieser Professoren ist an der Entwicklung neuer therapeutischer Ansätze beteiligt, wodurch die Fakultät zu einer wichtigen Drehscheibe für die weiterführende Behandlung immunologischer Störungen wird.“
02. Herausforderung das immunologische Gedächtnis zu verstehen
Als führender Experte in der Grundlagenforschung auf dem Gebiet der Immunsystembildung hat Dr. Nakayama dazu beigetragen, die grundlegenden Prinzipien und Mechanismen der erworbenen Immunität aufzudecken. T-Zellen, eine Art von Immunzellen, differenzieren sich bekanntlich in T-Helferzellen. Dr. Nakayama hat eine Erklärung für die Funktionen dieser Zellen geliefert.
Im Rahmen seines neuen Forschungsthemas arbeitet Dr. Nakayama daran, auf genetischer Ebene den Mechanismus zu verstehen, wie T-Helferzellen, wie beispielsweise Th1- und Th2-Zellen, sich zu Gedächtniszellen entwickeln. Dr. Nakayama sagt: „Zwar haben wir unser Wissen über die erworbene Immunität erweitert, doch gibt es noch viele unbekannte Faktoren. Wie sich das immunologische Gedächtnis bildet - das Wesen der erworbenen Immunität - ist kaum bekannt, und als Forscher möchte ich diesem Mechanismus auf molekularer und genetischer Ebene auf den Grund gehen. Diese Forschungsergebnisse werden wahrscheinlich und letztendlich zu einer dauerhaften Heilung von Allergien und zur Entwicklung von Grippeimpfungen führen, die mit nur einer Injektion ein Leben lang wirksam sein können“, so die Bedeutung des Forschungsthemas.
Auf der Grundlage langjähriger Grundlagenforschung arbeitet Dr. Nakayama auch an angewandten Studien zur Immunzelltherapie. Eine dieser Studien ist die Erforschung einer innovativen Therapie mit NKT-Zellen, die als vierter Lymphozyt nach T-Zellen, B-Zellen und natürlichen Killerzellen bezeichnet wird. Diese Therapie wird voraussichtlich bei der Krebsbehandlung erfolgreich sein. Insbesondere begann um 2001 eine klinische Studie zur Behandlung von Lungenkrebs, die signifikante Behandlungsergebnisse, wie das Schrumpfen von Krebstumoren hervorbrachte. Die Anwendung dieser Methode wird auch zur Behandlung von Kopf-Hals-Tumoren erwogen. Eine solche Anwendung in diesen Bereichen ist der erste Schritt zu einer breiteren Anwendungsmöglichkeit der Behandlung.
„Klassische Standardoperationen, Radiologie und Chemotherapie hatten in Bezug auf Lungenkrebs Grenzen. Das liegt daran, dass die Lunge ein Organ mit einer schwammartigen Struktur ist und eine große Menge an Blut durchströmt, sodass es zu dem Zeitpunkt, an dem der Krebs auf einem CT oder einer anderen diagnostischen Bildgebung als Schatten erscheint, oft viele winzige Metastasen innerhalb der Lunge sind. Diese wachsen schließlich und verursachen ein Wiederauftreten des Lungenkrebses. Ohne Lunge kann der Mensch nicht atmen und wird sterben, sodass wir nicht präventiv die gesamte Lunge resezieren können wie eine vollständige Gastrektomie im Falle von fortgeschrittenem Magenkrebs. Es gibt eine Grenze für die Kontrolle von Krebszellen mit Medikamenten.
In diesem Sinne ist eine Behandlung mit dem eigenen Immunsystem des Patienten vielversprechend. Selbst im Vergleich zu anderen Behandlungsmethoden wie der postoperativen Chemotherapie gibt es bereits Hinweise darauf, dass die Lebenserwartung der Patienten deutlich verlängert wird. Gegenwärtig führen wir klinische Studien durch, um das Verabreichungsschema der NKT-Zellen zu überprüfen und gleichzeitig die Forschung zur Therapie stetig voranzutreiben. Die Vorbereitungen für die Anwendung als fortgeschrittene medizinische Versorgung sind ebenfalls im Gange, und heute haben wir etwa 100 Patienten, die diese Therapie erhalten.“
Es gibt Hoffnungen, Krebserkrankungen erfolgreich mit Immunzellen zu behandeln. Darüber hinaus handelt es sich bei dieser Behandlung um einen sicheren und minimalinvasiven chirurgischen Eingriff. „Im Gegensatz zu bereits vorhandenen Krebsmedikamenten zeichnet sich dieser Ansatz dadurch aus, dass er für die Patienten weniger traumatisierend ist. Nebenwirkungen sind im Allgemeinen nur ein leichtes Fieber, wenn überhaupt“, sagt Dr. Nakayama.
Zur Frage, wie er sich die Zukunft dieser Forschung vorstellt, erklärt er, dass „die auf dem Immunsystem basierende Therapie als individuelle medizinische Versorgung eine dauerhafte Heilung von Krebserkrankungen bietet und die Art und Weise der medizinischen Versorgung stark verändern wird, indem sie sich von der Krebsbehandlung zur Krebsprävention verlagert.“
Als weiteren neuen Ansatz nach der Behandlung von Allergien und Krebserkrankungen befasst sich Dr. Nakayama auch mit der Behandlung von Herz-Kreislauf-Erkrankungen, einschließlich Arteriosklerose, aus der Perspektive des Immunsystems. Laut Dr. Nakayama „wird eine Behandlung mit Hilfe des Immunsystems möglich sein, indem Arteriosklerose als eine Entzündung innerhalb eines Blutgefäßes definiert wird.“ Er sagt, dass er „mehr darauf hinarbeiten möchte, Forscher für dieses Gebiet zu qualifizieren, und mit ihnen an gemeinsamen Studien zu arbeiten. Und zudem eine Vision zu entwickeln, wo die Forschung in 10 und 20 Jahren stehen könnte“.
03. Entwicklung eines internationalen Forschungszentrums mit dem Global COE Program
Die Chiba-Universität fördert das Global COE-Program, für das Dr. Nakayama seit dem Jahr 2008 als Leiter des Zentrums fungiert. Das Programm versteht sich als internationale Forschungsdrehscheibe für die Regulation des Immunsystems zur Krankheitsbekämpfung. Das Zentrum besteht aus der Medizinischen Fakultät, der Fakultät für Pharmazeutische Wissenschaften, dem Universitätsklinikum und den folgenden externen Instituten: dem RIKEN-Forschungszentrum für Allergie und Immunologie und dem Nationalen Institut für Radiologische Wissenschaften. Das Forschungszentrum forscht auf dem Gebiet des Immunsystems mit dem Ziel, durch die Regulation des Immunsystems eine therapeutische Forschung und Entwicklung für refraktäre immunitätsbedingte Erkrankungen zu erreichen. Als Bildungseinrichtung konzentriert sich das Global COE-Program an der Chiba-Universität auch auf die Förderung von Nachwuchsforschern in der immunologischen Forschung.
Während sich die beiden Fakultäten der Universität Chiba mit der Erforschung von Therapeutika durch erworbene Immunität befassen, arbeitet RIKEN an Therapeutika durch natürliche Immunität. Bisher konzentrierte sich die Immunitätsforschung auf die erworbene Immunität, aber die Bedeutung der natürlichen Immunität wurde in den letzten Jahren erneut bekräftigt. Durch enge Zusammenarbeit haben die von der Chiba-Universität und RIKEN durchgeführte Forschung fortschrittliche Therapeutika hervorgebracht, die auf beiden Immunreaktionen basieren.
Was die klinischen Studien betrifft, so führt das Universitätskrankenhaus nicht nur klinische Studien über immunologische Funktionsstörungen unter der Leitung des Zentrums für fortgeschrittene Medizin durch, sondern das Nationale Institut für Radiologische Wissenschaften arbeitet auch an der Entwicklung von Kombinationstherapien, die sowohl Immunantworten als auch die Ionentherapie zur Krebsbekämpfung einsetzen. Der Einsatz dieser Kombinationstherapie durch das Zentrum ist weltweit eine Premiere, und Forscher erwarten, dass sie als weniger invasive Therapie bei Krebs von Nutzen sein wird.
„Japan, die USA und Europa befinden sich bei der Erforschung des Immunsystems auf Augenhöhe. Mit der Zielsetzung, in diesem Bereich weltweit führend zu sein, ist dies ein ideales Umfeld. Durch die Förderung des Global COE-Programs, können wir der Welt neue therapeutische Konzepte als internationale Bildungs- und Forschungsdrehscheibe für die Regulation des Immunsystems zur Krankheitsbekämpfung liefern“, sagt Dr. Nakayama.

(Quelle: Website des Global COE-Programs der Chiba-Universität
https://www.m.chiba-u.jp/class/gcoe/eng/outline/)

(Quelle: Website des Global COE-Programs der Chiba-Universität
https://www.m.chiba-u.jp/class/gcoe/eng/research/)
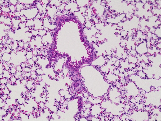
04. Beitrag der Modellreihe BZ zum Verständnis des pathologischen Asthmamodells
Das Labor von Dr. Nakayama, das sich als Forschungszentrum für das Global COE-Program eignet, ist mit modernsten Zellseparationssystemen und anderen Geräten ausgestattet, die für die Erforschung der pathologischen Modelle immunologischer Erkrankungen erforderlich sind. Darunter befindet sich auch das Fluoreszenzmikroskop der Modellreihe BZ von KEYENCE, das für die Zellbeobachtung in vollem Umfang genutzt wird.


„Ich hatte bisher den starken Eindruck, dass Fluoreszenzmikroskope im Allgemeinen nur für Menschen mit besonderen Fähigkeiten hilfreich sind, aber die Modellreihe BZ hat den großen Vorteil, dass sie selbst von unerfahrenen Personen genutzt werden kann. Es ist großartig, dass das Mikroskop auch für Menschen einfach zu bedienen ist, die aus Zeitgründen nur begrenzte Möglichkeiten haben, sich damit vertraut zu machen. Ein gutes Beispiel dafür sind Ärzte, die auch in der klinischen Forschung tätig sind“, sagt Dr. Nakayama.
Assistenzprofessor Chiaki Iwamura ist einer der häufigsten Nutzer unter den Labormitarbeitern. Gegenwärtig widmet er sich der Allergieforschung, insbesondere dem pathologischen Asthmamodell an Mäusen. Wichtig ist dabei die detaillierte Beobachtung der Lunge und der Bronchien. Dr. Iwamura berichtet, dass er die Modellreihe BZ für vergrößerte Probenbetrachtung und Aufnahmen verwendet.
„Bisher wurde die Betrachtung von Proben mit einem Fluoreszenzmikroskop in einer Dunkelkammer durchgeführt, aber stundenlange Untersuchungen dieser Art waren schlecht für die Augen. Im Gegensatz dazu benötigt die Modellreihe BZ von KEYENCE keine Dunkelkammer, sodass wir uns lange Zeit auf die Untersuchung der Proben konzentrieren können.“
Um pathologische Asthmamodelle bei Mäusen zu beobachten, muss man die gesamte Lunge betrachten und wichtige Bereiche für die Beobachtung vergrößern. Die Navigationsfunktion der Modellreihe BZ ist für solche Einsätze sehr nützlich. Damit können vergrößerte Bilder eines beliebigen Bereichs des Gesamtbildes, welches mit einem Objektiv mit geringer Vergrößerung aufgenommen wurde, angezeigt werden, indem der Benutzer nur auf diesen Bereich klickt. Dr. Iwamura erläutert den Vorteil der Modellreihe BZ: „Bei anderen Mikroskopmodellen nahm die Betrachtung zu viel Zeit in Anspruch und es gab viele unnötige Arbeiten. Mit der Modellreihe BZ jedoch können Sie den gewünschten Bereich mühelos betrachten.“
Die meisten Aufnahmen für die von ihm vorbereiteten wissenschaftlichen Arbeiten sind mit der Modellreihe BZ aufgenommen. „Die Bildqualität der Aufnahmen kann einen Einfluss darauf haben, wie überzeugend die wissenschaftliche Arbeit ist. Schon allein aus diesem Grund freut es mich, dass man mich als jemanden erkennt, der klare Aufnahmen liefert“, so Dr. Iwamura.
Er fügt hinzu: „Während über den Mechanismus von Allergien noch vieles unbekannt ist, so erfahren wir auf molekularer Ebene immer mehr.“ Sein zukünftiges Ziel ist es, Grundlagenforschung zu verfolgen, die zu einer dauerhaften Heilung der atopischen Dermatitis und anderer allergischer Probleme beiträgt. Als Mitglied des Global COE-Programs beteiligt sich Dr. Iwamura an der Spitzenforschung zum Thema Immunsystem, während er gleichzeitig mit großem Engagement mehrere Hochschulabsolventen ausbildet und den Austausch mit Forschern im Ausland vertieft.




- Das Fluoreszenzmikroskop BZ verfügt über viele weitere innovative Funktionen
- Informieren Sie sich in unserem Katalog über das neue kompakte Fluoreszenzmikroskop BZ-X von KEYENCE.
05. Steigende Erwartungen an Nachwuchsforscher auf dem Gebiet der Regulation des Immunsystems
Dr. Nakayamas therapeutischer Ansatz zur Behandlung refraktärer Erkrankungen, der auf der Regulation des Immunsystems beruht, steht inzwischen weltweit an erster Stelle. Allerdings ist, wie er selbst sagt, „noch viel über die Mechanismen des Immunsystems unbekannt“, und wir warten auf zukünftige Forschungsergebnisse. Vor diesem Hintergrund engagiert sich Dr. Nakayama für das Global COE-Projekt, da er „so viele junge Forscher wie möglich fördern möchte.“
„Wenn Sie auf einem Forschungsgebiet weltweit zur Spitzenklasse gehören wollen, ist es am wichtigsten, in einer auf diesem Gebiet führenden Gruppe zu forschen. In einem solchen Umfeld wünsche ich mir, dass jeder Einzelne rund um die Uhr seine Forschung vorantreibt und sich nur im äußersten Notfall zu Wort meldet. Wenn man sich voll und ganz in die Forschung vertieft, in dem Maße, wie man sein Forschungsthema in seinen Träumen sieht, führt der Weg auch dorthin.“
Dr. Nakayama selbst schloss sich der medizinischen Forschung an, nachdem er sich während seiner Studienzeit zutiefst bewusst wurde, wie viele refraktäre Erkrankungen es tatsächlich gibt. „Natürlich ist es wichtig, als Mediziner an der Behandlung von Krankheiten zu arbeiten, die geheilt werden können, aber andererseits gibt es auch unheilbare Krankheiten. Der Wunsch, etwas gegen diese Probleme zu unternehmen, hat mich dazu gebracht, meine Tätigkeit als Forscher zu beginnen.“

Forschungsstipendien werden heutzutage gekürzt, was es für junge Forscher schwieriger macht, ihre Forschung fortzusetzen, aber Dr. Nakayama erklärt, wie wichtig es ist, ein Forschungsthema ohne Umwege direkt zu verfolgen.
„Eines Tages wird sich jedem die Gelegenheit bieten, einen großen Schritt nach vorn zu machen. Ich möchte, dass die Nachwuchsforscher zu diesem Zeitpunkt bestens vorbereitet sind. Beispielsweise müssen sie für ein Auslandsstudium über gute Sprachkenntnisse verfügen, da der Austausch mit ausländischen Forschern in Zukunft wichtig sein wird. Die permanente tägliche Vorbereitungsarbeit, die sie leisten, wird dazu führen, dass sie als Forscher große Fortschritte machen werden.“
(Stand: März 2009)
Allgemeines: Immunzellen
Alle Immunzellen haben ihren Ursprung im Knochenmark und werden aus Stammzellen zu Makrophagen, T-Zellen, B-Zellen, natürlichen Killerzellen (NK-Zellen) und anderen weißen Blutkörperchen umgewandelt. B-Zellen entwickeln sich weiter zu antikörperbildenden Zellen, welche Antikörper zur Bekämpfung von Antigenen produzieren.
T-Zellen differenzieren sich in T-Helferzellen und T-Killerzellen. Erstere gibt B-Zellen die Anweisung, Antikörper zu produzieren und T-Zellen abzutöten, um Antigene anzugreifen.
Im Blut eines gesunden Menschen machen die Lymphozyten etwa ein Drittel der weißen Blutkörperchen aus. Die meisten Lymphozyten sind T-Zellen, B-Zellen und NK-Zellen, aber NKT-Zellen existieren auch in einem sehr geringen prozentualen Anteil von unter 0,1%. Diese sollen eine wichtige Rolle im Immunsystem spielen.
Über Dr. Toshinori Nakayama
Dr. Toshinori Nakayama wurde 1959 in Okayama geboren. Er schloss 1988 ein Doktorandenprogramm an der Medizinischen Fakultät der Universität Tokio ab. Er begann seine Laufbahn als Postdoktorand am National Cancer Institute, National Institutes of Health (USA), war wissenschaftlicher Mitarbeiter an der Medizinischen Fakultät der Universität Tokio, außerordentlicher Professor am Forschungsinstitut für Biowissenschaften der Universität Tokio und außerordentlicher Professor an der Medizinischen Fakultät der Universität Chiba. 2001 wurde er Professor der Abteilung für Medizinische Immunologie an der Medizinischen Fakultät der Universität Chiba. Er begann seine derzeitige Tätigkeit im Jahr 2004. Dr. Nakayama ist gleichzeitig der Leiter des Medical Global COE Program, eine Position, die er seit 2008 ausübt. Er hat viele Auszeichnungen erhalten, darunter den 3. Preis der Japanischen Gesellschaft für Immunologie im Jahr 2000 und den 14. Abbott Japan Allergie-Forschungspreis im Jahr 2004.


