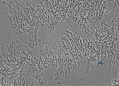
Quantifizierung der Hyphenkonzentration dank eines Imaging-Zytometers
Automatische Stapelmessung
Mit der Methode der Zellsuspendierung in einer strömenden Flüssigkeit, die für verschiedene Analysen durch oder an einem Sensor vorbeigeführt wird, kann eine große Anzahl von Zellen mit hoher Geschwindigkeit gemessen und auch die Sortierung von Zellen per Zellsortierer durchgeführt werden. Daher wird diese Methode in einer Vielzahl von Laboren angewandt.
Heutzutage besteht ein wachsender Bedarf, stationäre Zellen zu messen, ohne dass sie durch eine Flüssigkeit strömen, und die Quantifizierung mit Bildern durchzuführen, um Korrelationen mit dem Erscheinungsbild der Zellen leicht verständlich zu machen. Diese Ansprüche haben zur Entwicklung des Imaging-Zytometers geführt.
Mit einem Imaging-Zytometer ist es möglich, die Reduktion von Zellen abzubilden sowie diese zu quantifizieren und zu analysieren. Es ist nicht notwendig, einzelne Zellen zu isolieren - sie können während der Analyse in ihrer Zellkultur verbleiben.
Das BZ-X ist mit einem hochmodernen Imaging-Zytometer ausgestattet und ermöglicht so eine hochpräzise Quantifizierung.



Wells mit geringer Helligkeit haben eine hohe Hyphendichte.
- Verwendung des kompakten Fluoreszenzmikroskops BZ-X
-
- Das BZ-X ermöglicht eine genaue Quantifizierung sowie die Analyse von Hyphenwachstum und -konzentration.
- Das gesamte Well kann bei hoher Vergrößerung aufgenommen werden, sodass der Benutzer das gesamte Bild auf einen Blick betrachten kann.
- Die vollständig motorisierte Steuerung ohne Dunkelkammer ermöglicht selbst unerfahrenen Benutzern eine einfache Bedienung des Systems und somit eine anspruchsvolle Analyse ohne benutzerabhängige Abweichungen.
- Weitere Beispiele für den Einsatz des kompakten Fluoreszenzmikroskops BZ-X in der Forschung:
- [Myelodysplastische Syndrome (MDS)] Stitching, Sectioning und die Z-Stapelfunktion als entscheidende Argumente für die Anschaffung des Fluoreszenzmikroskops BZ am Universitätsklinikum Düsseldorf
- [Neuropathologie] Perfekte Lösung für den diagnostischen Alltag in der Krankenversorgung und der klinischen Forschung am Institut für Neuropathologie der Charité in Berlin
- [Regenerative Medizin] Essentielle Bildgebung für die Betrachtung der gesamten Wirbelsäule
- [Gentherapie] Probenbetrachtung in der Hirnforschung
- [Behandlung von Herzkrankheiten] Einfache Betrachtung vom gesamten Rattenherz bis hin zu dessen Zellen
- [Krebsbehandlung] Fluoreszenzmikroskop mit integrierter Dunkelkammer verändert die Forschung in starkem Maße
- [Immunsystem] Beitrag der Modellreihe BZ zum Verständnis des pathologischen Asthmamodells
- [Biomaterialien] Förderung der Effizienz in der Forschung mit kompakten, benutzerfreundlichen Mikroskopen


