Automatische Analyse des CD68 Glomerulus-Flächenverhältnisses
Einfluss von CD68 auf das Nierengewebe
Das Eindringen von CD68 (Makrophage) in den Nierenglomerulus wird allgemein bei allen progressiven Nierenerkrankungen beobachtet.
Der Glomerulus - eine mikroskopisch kleine Kugel aus Kapillaren mit kleinen, offenen Poren - steuert die Filterfunktion der Niere. In einer einzelnen Niere gibt es etwa eine Millionen Glomeruli. Das Eindringen von Makrophagen in den Glomerulus führt zu einer Fibrose des Nierengewebes.*
* Was ist Fibrose?
Bei einer Fibrose vermehrt sich das Bindegewebe, aus dem sich das Gewebe zusammensetzt, abnormal schnell. Im Einzelnen führt bei einer systemischen Sklerose ein Wachstum in der extrazellulären Matrix aus Kollagenfasern und ähnlichen Bestandteilen in der Haut oder in inneren Organen zu einer Verhärtung der Haut oder der inneren Organe. Herzfibrose ist ein Phänomen, bei dem sich ein Überschuss an extrazellulärem Kollagen ansammelt. Dies führt zu einer Versteifung des Herzmuskelgewebes, was eine eingeschränkte Pumpleistung des Herzens zur Folge hat.
Ähnliche Artikel: Quantifizierung der Fibrose
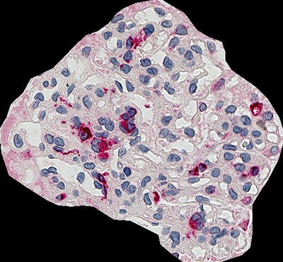
Analyse des CD68 Flächenverhältnisses im Glomerulus
Ein Beispiel für die Analyse des Flächenverhältnisses des CD68 im Glomerulus ist unten dargestellt. Nachdem die HE-Färbung durchgeführt wurde, wurde eine Nierenbiopsie von oben betrachtet aufgenommen. Normalerweise ist es schwierig, das Bild zu fokussieren, wenn die Probe dick ist, aber die Z-Stapel-Bilderfassung ermöglicht, dass das gesamte Bild scharf abgebildet wird.



Glomerulus-Flächenverhältnis: 4,3%
Verwendung des kompakten Fluoreszenzmikroskops BZ-X
- Voll fokussierte Aufnahmen selbst bei dicken Proben.
- Dank der schnellen Bildzusammensetzungsfunktion sind hochauflösende Aufnahmen von oben möglich..
- Schwellenwerte können automatisch eingestellt werden, wodurch objektive Analysen ermöglicht werden.
- Weitere Beispiele für den Einsatz des kompakten Fluoreszenzmikroskops BZ-X in der Forschung:
- [Myelodysplastische Syndrome (MDS)] Stitching, Sectioning und die Z-Stapelfunktion als entscheidende Argumente für die Anschaffung des Fluoreszenzmikroskops BZ am Universitätsklinikum Düsseldorf
- [Neuropathologie] Perfekte Lösung für den diagnostischen Alltag in der Krankenversorgung und der klinischen Forschung am Institut für Neuropathologie der Charité in Berlin
- [Regenerative Medizin] Essentielle Bildgebung für die Betrachtung der gesamten Wirbelsäule
- [Gentherapie] Probenbetrachtung in der Hirnforschung
- [Behandlung von Herzkrankheiten] Einfache Betrachtung vom gesamten Rattenherz bis hin zu dessen Zellen
- [Krebsbehandlung] Fluoreszenzmikroskop mit integrierter Dunkelkammer verändert die Forschung in starkem Maße
- [Immunsystem] Beitrag der Modellreihe BZ zum Verständnis des pathologischen Asthmamodells
- [Biomaterialien] Förderung der Effizienz in der Forschung mit kompakten, benutzerfreundlichen Mikroskopen


