Quantitative Analyse der durch UV-Strahlung verursachten Hautschäden
Ultraviolette Strahlung hat positive Auswirkungen auf den menschlichen Körper, darunter die Sterilisation, die Förderung des Stoffwechsels und die Anpassung des Biorhythmus sowie die Produktion von Vitamin D für die Knochengesundheit. In den letzten Jahren wurde jedoch auf die Zunahme der ultravioletten Strahlung der Sonne aufgrund des Ozonabbaus als Ursache für Gesundheitsgefahren wie Hautkrebs und -alterung durch Sonnenbrand hingewiesen.
Im Folgenden wird erklärt, was ultraviolette Strahlung ist, welche Auswirkungen sie auf die Haut hat und wie der Mechanismus ihrer Wirkung auf die Haut aussieht. Auch die Betrachtung und Quantifizierung von Hautschäden durch UV-Strahlung wird erläutert.
- Was ist ultraviolette Strahlung?
- Die Schutzfunktion der Haut gegen UV-Strahlung
- Hautschäden durch UV-Strahlung
- Quantitative Analyse der durch UV-Strahlung verursachten Hautschäden
Was ist ultraviolette Strahlung?
Die ultraviolette Strahlung der Sonne, die die Erdoberfläche erreicht (elektromagnetische Welle), hat Wellenlängen zwischen 100 nm und 400 nm. Johann Wilhelm Ritter entdeckte 1801 die ultraviolette Strahlung. Ihre Wellenlänge ist kürzer als die des sichtbaren Lichts – zwischen 400 nm und 780 nm, wobei violettes Licht die kürzeste Wellenlänge hat (400 nm) – daher auch der Name Ultraviolett.
Über die Wellenlänge: In diesem Abschnitt wird die Wellenlänge anhand von Werten aus der Photomedizin und Photobiologie erläutert.
Verschiedene Bänder der ultravioletten Strahlung
Ultraviolette Strahlen werden in UVA, UVB und UVC unterteilt, je nachdem, wie sie auf Lebewesen wirken.
UVA: UV-Strahlen mit Wellenlängen von 320 nm bis 400 nm.
UVB: UV-Strahlen mit Wellenlängen von 290 nm bis 320 nm.
UVC: UV-Strahlen mit Wellenlängen von 100 nm bis 290 nm.
Von den Sonnenstrahlen, die die Erdoberfläche erreichen, entfallen 5 bis 6% auf ultraviolette Strahlen, von denen etwa 90% UVA und der Rest hauptsächlich UVB sind. UVC wird größtenteils von der Ozonschicht absorbiert und erreicht nicht die Oberfläche der Erde. Daher werden in Bezug auf die Schädigung der Epidermis nur UVA und UVB betrachtet.
- a
- Ultraviolett
- b
- Sichtbar
- c
- Infrarot
UV-Wellenlänge und Photonenenergie
UV-Strahlung ist sowohl eine elektromagnetische Welle als auch Licht. Licht besteht aus Elementarteilchen, die Photonen genannt werden, und die Energie, die diese Teilchen tragen, wird Photonenenergie genannt. Die Photonenenergie ist direkt proportional zur elektromagnetischen Frequenz eines Photons und umgekehrt proportional zu seiner Wellenlänge. Die Photonenenergie E kann durch die folgende Gleichung ausgedrückt werden, wobei h die Planck-Konstante (6,626×10-34 Js), c die Lichtgeschwindigkeit und λ die Wellenlänge des Photons ist:
E = h × c / λ
Aus dieser Gleichung lässt sich erkennen, dass die Photonenenergie E abnimmt, je länger die Wellenlänge λ ist. Umgekehrt steigt mit kürzer werdender Wellenlänge λ die Photonenenergie E. Die Kraft, die die molekularen Bindungen in einer Substanz zerstört, wird größer, wenn die Photonenenergie zunimmt. Je länger die Wellenlänge des Photons ist, desto höher ist die Rate des Lichts, das die Erdoberfläche erreicht.
Da UVB kürzere Wellenlängen hat, erreicht die meiste UVB-Strahlung nicht die Erdoberfläche und dringt daher nicht in die Haut bis zur Dermis ein, sondern schädigt stattdessen die Epidermis. Sie kann aufgrund ihrer hohen Photonenenergie in kurzer Zeit schwere Schäden verursachen.
UVA hingegen hat längere Wellenlängen und kann meist die Erdoberfläche erreichen, wodurch es auch in die Haut bis in die Dermis eindringen kann. Aufgrund seiner geringen Photonenenergie ist es unwahrscheinlich, dass UVA in kurzen Zeiträumen Schäden an der Haut verursacht, aber es kann die Dermis schädigen, wenn die Haut über längere Zeiträume exponiert wird.
Die Schutzfunktion der Haut gegen UV-Strahlung
Die Haut nutzt ihren Zellumsatz, um die Dermis und Hypodermis vor UV-Strahlung zu schützen.
Die Haut besteht aus der Oberhaut (Epidermis) und der Lederhaut (Dermis). Die Oberhaut (Epidermis) ist die äußerste Schicht. Die Epidermis besteht aus dem Stratum corneum (Hornschicht), der Körnerschicht, der Stachelschicht und der Basalschicht, in der Reihenfolge von der Hautoberfläche abwärts.
Wenn UV-Strahlung das Stratum corneum durchdringt, erzeugen die Melanozyten in der Basalschicht Melaninpigmente, um die Dermis vor UVA und UVB zu schützen. Melanin ist ein braunes oder schwarzes Pigment. Die erzeugten Melaninpigmente werden an die Keratinozyten in der Epidermis abgegeben und in das Stratum corneum hochgeschoben.
Einmal an das Stratum corneum herangeschoben, blockieren Melanin und Keratin UVA und UVB. Dieser Prozess der Haut schützt die Basalschicht und die Dermis vor UV-Strahlung.
- A
- Ultraviolett
- B
- Epidermis
- C
- Dermis
- D
- Hornschicht
- E
- Körnerschicht
- F
- Stachelschicht
- G
- Basalschicht
- H
- Melanozyten
Hautschäden durch UV-Strahlung
Wie bereits erwähnt, ist eine der Funktionen der Haut die epidermale Basalschicht und die Dermis vor UV-Strahlung zu schützen. Dennoch kann die Haut durch UV-Strahlung geschädigt werden, wenn die Exposition ihre Schutzfunktion übersteigt, sei es in Bezug auf die Menge der UV-Strahlung oder die Langzeitexposition. Dieser Abschnitt erklärt die typischen Symptome von Hautproblemen, die durch UV-Strahlung verursacht werden, und wie sie entstehen.
Durch UVB verursachte Hautprobleme
Da UVB kürzere Wellenlängen hat und daher von der Ozonschicht absorbiert wird, ist die Menge an UVB, die die Erdoberfläche erreicht, begrenzt, was bedeutet, dass seine Eindringtiefe in die Haut gering ist. Durch die hohe Photonenenergie kann sie jedoch auch über kurze Zeiträume Sonnenbräune und Sonnenbrand verursachen.
Sonnenbrand ist eine Rötung der Haut, die als Reaktion auf UV-Strahlung auftritt. Er wird in der Regel durch UVB verursacht und wird auch als Erythemreaktion bezeichnet. Der Sonnenbrand tritt einige Stunden nachdem die Haut plötzlich starker UV-Strahlung ausgesetzt wurde auf. Die Blutgefäße in dem geröteten Bereich erweitern sich und führen zu einer Entzündung. Das Symptom erreicht seinen Höhepunkt nach 8 bis 12 Stunden. Dieser Zustand hält einige Tage an, bevor die Haut ihren normalen Zustand wiedererlangt.
Die Erweiterung der Blutgefäße fördert die Bildung von Zytokinen durch Keratinozyten, die UVB absorbiert haben, was zu einer Entzündungsreaktion führt. Bei diesem Prozess werden die benachbarten Pyrimidinbasen in einer DNA-Doppelhelix zu Pyrimidindimeren verbunden, die für die Zellen eine Läsion darstellen. Hautzellen können diese Läsionen mit einer Funktion namens Nukleotid-Exzisionsreparatur reparieren. Ein Sonnenbrand tritt jedoch auf, wenn die Menge der Läsionen diese Funktion übersteigt oder wenn die Reparatur nicht erfolgreich ist. Außerdem kann die Vermehrung solcher geschädigter Zellen zu bösartigem Hautkrebs wie Melanomen, Plattenepithelkarzinomen und Basalzellenkrebs führen.
Sonnenbräune ist die durch UV-Strahlung verursachte Verdunkelung der Haut und wird auch als Pigmentverdunkelung oder Bräunung bezeichnet. Es gibt zwei Phasen der Bräunung: die sofortige Pigmentverdunkelung und die verzögerte Bräunung.
- Sofortige Pigmentverdunkelung
- Eine sofortige Pigmentverdunkelung tritt auf, wenn die reduzierte Form von Melanin in der Haut sofort nach der Exposition der Haut gegenüber UV-Strahlung photooxidiert. Die Pigmentierung verschwindet in der Regel nach einigen Stunden.
- Verzögerte Bräunung
- Verzögerte Bräunung tritt auf, wenn neue Melaninpigmente über einen längeren Zeitraum gebildet werden, etwa zwei Tage nachdem die Haut der UV-Strahlung ausgesetzt wurde. Die verzögerte Bräunung hält mehrere Monate an.
Durch UVA verursachte Hautprobleme
Es erreicht mehr UVA die Erdoberfläche im Vergleich zu UVB. UVA hat längere Wellenlängen und kann daher Melanin und Keratin im Stratum corneum der Epidermis durchdringen und in die Dermis eindringen.
Wenn UVA die Dermis erreicht, wirkt es sich auf die elastischen Fasern, die Kollagenfasern und das Mukoperiost aus, was zu einer Verschlechterung der Geschmeidigkeit und Festigkeit der Haut führt und Falten, Erschlaffung und andere Alterungseffekte (Photoaging) und Probleme in der Haut verursacht. Es kann auch vorhandenes Melanin oxidieren und die Haut verdunkeln.
Quantitative Analyse der durch UV-Strahlung verursachten Hautschäden
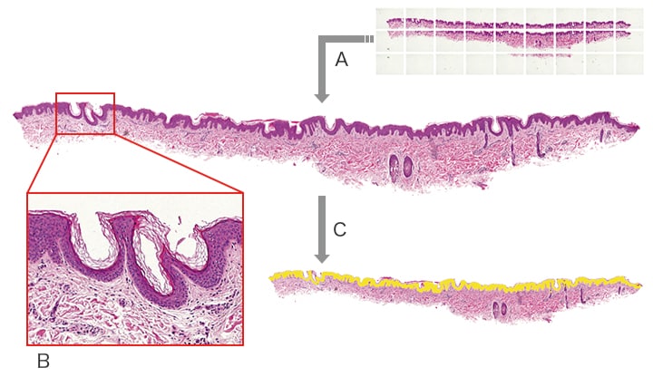
Durch ultraviolette Strahlung verursachte Hautschäden können durch Betrachtung der Dicke der gefärbten Epidermis mit einem Mikroskop beurteilt werden. Bei der Messung der Dicke an einer beliebigen Stelle der Haut kann es je nach Messort zu Messabweichungen kommen, was eine zuverlässige Beurteilung verhindert. Zusätzlich muss eine Probe, die nicht vollständig in das Sichtfeld passt, geteilt und somit mehrfach betrachtet werden. Die erhöhte Anzahl von Betrachtungen erfordert mehr Instanzen der Fokus- und Beleuchtungseinstellung.
Das kompakte Fluoreszenzmikroskop BZ-X von KEYENCE ermöglicht die Betrachtung eines gesamten Bildes. Es ist ausreichend die vier äußersten Bildpunkte der Probe auszuwählen, um die Koordinaten für eine schnelle und kontinuierliche Aufnahme zu registrieren. Anschließend werden Bilder mit einer Auflösung von bis zu 50.000 × 50.000 Pixeln zusammengefügt. Die präzise Kacheleffektkorrektur des BZ-X beseitigt ungleichmäßige Lichtintensitäten, die durch Objektivaberration verursacht wurden, und hilft so, Kacheleffekte in zusammengesetzten Bildern zu entfernen. Dies ermöglicht dem Anwender, seine Proben in einem natürlich, hochauflösenden Bild ohne Kacheleffekte zu betrachten. Der Benutzer kann einfach auf eine beliebige Stelle des zusammengesetzten Bildes klicken, um sich sofort zu diesen Koordinaten zu bewegen und den Bereich in hoher Auflösung zu betrachten.
Die hybride Zellzählung kann verwendet werden, um den Zielbereich auf der Grundlage von Farb-, Helligkeits- und Konturinformationen genau zu extrahieren und den Bereich zu messen. Die Verwendung von zusammengesetzten Bildern gewährleistet nicht nur Genauigkeit, sondern bietet auch qualitativ hochwertige Daten, die visuell leicht zu verstehen sind.
Die Funktion Zellzähl-Makros ist nützlich, wenn mehrere Proben vorhanden sind, da Messungen automatisch in einem Stapel durchgeführt werden können, indem die Messbedingungen aus dem ersten Bild übernommen werden. Dies reduziert die Messzeit und eliminiert Schwankungen in den Messbedingungen, was die Zuverlässigkeit der Daten erhöht.
- A
- Bildaufnahme mit Bildzusammensetzung
- B
- Lokalisierte hochauflösende Betrachtung
- C
- Extraktion und Quantifizierung der beschädigten Stelle (Fläche: 72865 μm2)
- Verwendung des kompakten Fluoreszenzmikroskops BZ-X
-
- Die Bildzusammensetzung ermöglicht die schnelle Erfassung von Bilddaten über große Bereiche. Dies ermöglicht eine Betrachtung mit natürlichen, hochauflösenden, zusammengesetzten Bildern ohne Kacheleffekte.
- Das BZ-X kann die gesamte Epidermisschicht für die Flächenmessung extrahieren und so schnell und ohne Abweichungen quantitative Daten erfassen.
- Selbst wenn viele Proben untersucht werden müssen, kann das BZ-X alle Proben unter den gleichen Bedingungen analysieren und so eine genaue vergleichende Bewertung erreichen, wobei Willkür ausgeschlossen wird.
- Weitere Beispiele für den Einsatz des kompakten Fluoreszenzmikroskops BZ-X in der Forschung:
- [Myelodysplastische Syndrome (MDS)] Stitching, Sectioning und die Z-Stapelfunktion als entscheidende Argumente für die Anschaffung des Fluoreszenzmikroskops BZ am Universitätsklinikum Düsseldorf
- [Neuropathologie] Perfekte Lösung für den diagnostischen Alltag in der Krankenversorgung und der klinischen Forschung am Institut für Neuropathologie der Charité in Berlin
- [Regenerative Medizin] Essentielle Bildgebung für die Betrachtung der gesamten Wirbelsäule
- [Gentherapie] Probenbetrachtung in der Hirnforschung
- [Behandlung von Herzkrankheiten] Einfache Betrachtung vom gesamten Rattenherz bis hin zu dessen Zellen
- [Krebsbehandlung] Fluoreszenzmikroskop mit integrierter Dunkelkammer verändert die Forschung in starkem Maße
- [Immunsystem] Beitrag der Modellreihe BZ zum Verständnis des pathologischen Asthmamodells
- [Biomaterialien] Förderung der Effizienz in der Forschung mit kompakten, benutzerfreundlichen Mikroskopen


