Eliminierung der Autofluoreszenzunschärfe bei Pflanzen
- Was ist Autofluoreszenz?
- Autofluoreszenz bei der Betrachtung von Pflanzen
- Erfassung klarer Bilder ohne Fluoreszenzunschärfe
Was ist Autofluoreszenz?
Prinzip der Autofluoreszenz
Autofluoreszenz ist die natürliche Emission von Licht, auch Photolumineszenz (PL) genannt, die durch bestimmte Zellstrukturen und -eigenschaften verursacht wird. Wenn ein Objekt Licht empfängt, absorbieren seine Moleküle Photonen (Licht) und regen die Elektronen an. Photolumineszenz ist Lichtemission, die auftritt, wenn die Elektronen in einen niedrigeren Energiezustand zurückkehren. Autofluoreszenz liegt vor, wenn Zellorganellen wie Mitochondrien und Lysosomen oder Bestandteile der extrazellulären Matrix wie Kollagen und Elastin, oder Isoalloxazinring-Flavin-haltige Verbindungen wie NADH und Riboflavin natürliches Anregungslicht emittieren. In Pflanzenzellen sind Chlorophyll, ein grünes Pigment, das bei der Photosynthese verwendet wird, und Lignin, das die Zellwände ausfüllt, typische Beispiele für Elemente, die Autofluoreszenz aufweisen.
Wellenlänge der Autofluoreszenz
Im Allgemeinen wird Autofluoreszenz beobachtet, wenn Zellstrukturen mit Licht, das eine Wellenlänge zwischen 350 und 500 nm hat, angeregt werden und Licht mit Wellenlängen von 350 bis 550 nm zurücksenden.
Zum Beispiel wird NADH, eine typische Flavinverbindung, die Autofluoreszenz emittiert, durch Licht im 340-nm-Wellenlängenbereich angeregt und emittiert blaue Autofluoreszenz bei Wellenlängen um 460 nm. Chlorophyll wiederum, das die Funktion hat, Energie aus dem von der Pflanze durch Photosynthese absorbierten Licht zu erzeugen, zeigt Autofluoreszenz bei einer Wellenlänge um 680 nm.
Die Kenntnis der Wellenlänge des Anregungslichts einer Substanz zusammen mit ihrer Empfindlichkeit darauf und der Wellenlänge ihrer Autofluoreszenz sind der Schlüssel zu einer klaren Betrachtung der Zielsubstanz und des Zielgewebes.
Autofluoreszenz bei der Betrachtung von Pflanzen
Herausforderungen bei der Fluoreszenzbetrachtung von Pflanzen
Bei der Betrachtung von mehrzelligen Organismen wie Pflanzen ist es üblich, die Zielzellen und -strukturen mit fluoreszierenden Proteinen selektiv zu markieren und die Ansicht zu vergrößern, um diese Zellen und Gewebe näher zu betrachten. Wenn die Signale der Zielzellen und des Proteins bei der Betrachtung einer Pflanze unter dem Fluoreszenzmikroskop jedoch schwach sind, kann die Autofluoreszenz ein Faktor sein, der ihre Unterscheidung verhindert. Besonders bei der Betrachtung von Pflanzenzellen gelten Chlorophyll und andere Substanzen, die Autofluoreszenz aufweisen, als eine der Hauptursachen für Fluoreszenzunschärfe.
Fluoreszenzunschärfe, die durch die Autofluoreszenz einer Pflanze entsteht, erschwert die Betrachtung der Zielsubstanz. Die Herausforderung besteht also darin, der Unschärfe entgegenzuwirken, um klare Bilder für eine einfachere Betrachtung und Analyse zu erhalten.
Maßnahmen gegen die Fluoreszenzunschärfe durch Autofluoreszenz
Die Verwendung von Filtern ist eine gängige Methode, um zu verhindern, dass die Autofluoreszenz des Chlorophylls die Betrachtung von Pflanzenzellen behindert.
Wie bereits erwähnt, wird die Autofluoreszenz von Chlorophyll in einem Wellenlängenbereich emittiert, der bei 680 nm seinen Höhepunkt erreicht. Die Fluoreszenzbetrachtung kann durch die Verwendung eines für das Wellenlängenband geeigneten Fluoreszenzfiltersatzes erreicht werden, um Licht mit einer Wellenlänge von ca. 680 nm zu eliminieren und so eine erfolgreiche Fluoreszenzbetrachtung frei von Effekten der Autofluoreszenz wie z. B. Fluoreszenzunschärfe zu gewährleisten.
Wenn die Wellenlänge der Autofluoreszenz, die die Fluoreszenzunschärfe verursacht, nicht identifiziert werden kann oder keine eindeutige Wellenlängencharakteristik aufweist, sollte zunächst der Wellenlängenbereich gefunden werden, der die Autofluoreszenz ausblendet. Dies geschiet indem verschiedene Wellenlängen mit einem Standard-Fluoreszenzfilter getestet werden und dann ein geeigneter Filter verwendet wird, um die Betrachtung der Zielsubstanz zu ermöglichen.
Herausforderungen und Anforderungen bei der Betrachtung von Pflanzen
Die Eliminierung der durch Autofluoreszenz verursachten Unschärfe mit Hilfe eines Filters erfordert Zeit und Mühe, um die zu eliminierenden Autofluoreszenz-Wellenlängen und die dazugehörigen Filter zu identifizieren. Bei der Betrachtung der intrazellulären Strukturen einer Pflanze lassen sich in einigen Fällen Proben präparieren. Eine solche Probenvorbereitung erfordert jedoch hohe Fachkompetenz und Erfahrung. Außerdem besteht bei der Präparation von Schnitten die Gefahr, dass durch die Anwendung mechanischer Kraft auf die Pflanze unbeabsichtigte Reaktionen hervorgerufen werden.
Die größte Herausforderung bei der Untersuchung von Pflanzen besteht darin, die Zellen und das Gewebe mit klaren, fluoreszenzunschärfefreien Bildern selektiv betrachten zu können und in der Lage zu sein, dreidimensionale Strukturen genau und effizient zu betrachten.
Erfassung klarer Bilder ohne Fluoreszenzunschärfe
Das kompakte Fluoreszenzmikroskop BZ-X von KEYENCE liefert klare Bilder ohne durch Autofluoreszenz verursachte Fluoreszenzunschärfe und kann außerdem einfach und schnell auf unterschiedliche Anforderungen und Bedürfnisse wie z. B. dreidimensionale Betrachtungen reagieren.
Klare, voll fokussierte Bilder ohne Fluoreszenzunschärfe
Das kompakte Fluoreszenzmikroskop BZ-X von KEYENCE ist mit der Sectioning-Funktion ausgestattet, mit der Fluoreszenzunschärfen optisch ohne den Einsatz von Lasern beseitigt und klare Bilder einfach aufgenommen werden können.
Die Sectioning-Funktion nutzt den optischen Sectioning-Algorithmus*, um Fluoreszenzunschärfen zu eliminieren, sodass nur klare Fluoreszenz von der Brennpunktposition übrig bleibt, was eine schnelle und einfache Aufnahme klarer Bilder ermöglicht. Zusätzlich kann das BZ-X durch die Aufnahme mehrerer Bilder in Z-Richtung während der Verwendung der Sectioning-Funktion genau nur die Fluoreszenzsignale aufnehmen, ohne von Fluoreszenzunschärfen in allen Höhen über die gesamte Tiefe der Probe betroffen zu sein. Aus diesen Bildern wählt das BZ-X nur die Bereiche aus, die am schärfsten sind, und kombiniert sie zu einem vollständig fokussierten Bild. Dies erspart dem Nutzer die Zeit und Mühe, den richtigen Filter für die zu eliminierende Wellenlänge zu finden und liefert ihm direkt ein klares Bild für die Betrachtung.
-

-

Z-Stapel und Vollfokussierung
-

-

Z-Stapel und Vollfokussierung
Objektiv: Plan-Apochromat 40x
* Der optische Sectioning-Algorithmus verwendet strukturierte Beleuchtung, um die Analysebereiche abzuteilen (z-Sectioning). Anregungslicht aus einer Halogen-Metalldampflampe, das einen breiten Wellenlängenbereich vom UV- bis zum Nahinfrarotbereich aufweist, wird durch ein elektronisches Projektionselement geleitet, das das Licht in einem Gittermuster auf die Probe projiziert (strukturierte Beleuchtung). Das Gitter wird nur auf die fokussierten Bereiche der Probe projiziert. Das BZ-X nimmt mehrere Bilder auf, während es das Gitter in Z-Richtung bewegt. Indem es aus diesen Bildern nur die Bereiche extrahiert, auf die das Gitter projiziert ist, verhindert es den Effekt der Fluoreszenzunschärfe in vertikaler Richtung. Dieser Algorithmus erzeugt automatisch klare Bilder, die selektiv nur aus den Signalen der fokussierten Bereiche bestehen.





3D-Bildkonstruktion und flexible Betrachtung
Es ist schwierig, dreidimensionale Gewebestrukturen nur anhand mehrerer zweidimensionaler Bilder zu analysieren und zu bewerten.
Mit dem BZ-X wird nur ein einziger Klick benötigt, um ein 3D-Bild aus Z-Stapel-Bildern zu konstruieren, die an verschiedenen Punkten der Z-Achse mit konstantem Abstand aufgenommen wurden. Zusätzlich kann der Nutzer, während er die Probe auf dem Monitor betrachtet, Querschnitte des 3D-Bildes einfach mit der Computermaus drehen, vergrößern oder verkleinern.
Die 3D-Bilder sind unabhängig vom Blickwinkel vollständig fokussiert und unterstützen das genaue Verständnis von lokalisierten Fluoreszenzsignalen, ganz gleich, wie die Computermaus bewegt wird.
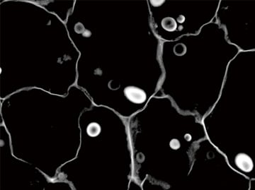
-

Ohne Sectioning
-

Mit Sectioning
- Verwendung des kompakten Fluoreszenzmikroskops BZ-X
-
- Die Sectioning-Funktion eliminiert optisch die Fluoreszenzunschärfe und ermöglicht so die Aufnahme von klaren Bildern.
- Die Z-Stapel-Funktion nimmt mehrere Bilder entlang der Z-Achse mit jeweils einem bestimmten Abstand kontinuierlich auf. Aus diesen Bildern wählt die Vollfokus-Funktion nur die Bereiche aus, die am schärfsten sind, und fusioniert sie. Dies ermöglicht eine Betrachtung mit Bildern, die über die gesamte Tiefe der Probe voll fokussiert sind.
- Das BZ-X kann auf einfache Weise genaue, hochpräzise 3D-Bilder auf der Grundlage von Z-Stapel-Bildern konstruieren, die mit der Sectioning-Funktion aufgenommen wurden.
- Der Nutzer kann Querschnitte des 3D-Bildes nach Belieben drehen, vergrößern oder verkleinern, indem er einfach die Computermaus bewegt. Das BZ-X bietet eine genaue Ansicht von lokalisierten Fluoreszenzsignalen aus jedem Winkel.
- Weitere Beispiele für den Einsatz des kompakten Fluoreszenzmikroskops BZ-X in der Forschung:
- [Myelodysplastische Syndrome (MDS)] Stitching, Sectioning und die Z-Stapelfunktion als entscheidende Argumente für die Anschaffung des Fluoreszenzmikroskops BZ am Universitätsklinikum Düsseldorf
- [Neuropathologie] Perfekte Lösung für den diagnostischen Alltag in der Krankenversorgung und der klinischen Forschung am Institut für Neuropathologie der Charité in Berlin
- [Regenerative Medizin] Essentielle Bildgebung für die Betrachtung der gesamten Wirbelsäule
- [Gentherapie] Probenbetrachtung in der Hirnforschung
- [Behandlung von Herzkrankheiten] Einfache Betrachtung vom gesamten Rattenherz bis hin zu dessen Zellen
- [Krebsbehandlung] Fluoreszenzmikroskop mit integrierter Dunkelkammer verändert die Forschung in starkem Maße
- [Immunsystem] Beitrag der Modellreihe BZ zum Verständnis des pathologischen Asthmamodells
- [Biomaterialien] Förderung der Effizienz in der Forschung mit kompakten, benutzerfreundlichen Mikroskopen


