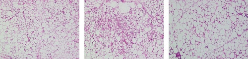
Quantitative Analyse von Adipozyten
Automatische Stapelmessung
Adipozyten bestehen aus Fetttröpfchen, das als Fettgewebe bezeichnet wird und in zwei Arten klassifiziert werden kann: weißes Fettgewebe (WAT) und braunes Fettgewebe (BAT). Jede Zelle des weißen Fettgewebes enthält ein einziges großes Fetttröpfchen, das Fett speichert. Braune Fettgewebezellen enthalten zahlreiche kleinere Tröpfchen. Diese Zellen verbrennen Fett, um Wärme zu erzeugen.
Wenn weißes Fettgewebe, aufgrund von Fettleibigkeit, wächst, führt das zu einer Dysfunktionalität der Adipozyten, welche wiederrum einige Krankheiten begünstigen kann.

- Menge
- 1485 Zellen
- Durchschnittsfläche
- 169 µm2
- Standardflächenabweichung
- 403 µm2
Objektiv: CFI Plan Apo λ 20x


- Menge
- 1955 Zellen
- Durchschnittsfläche
- 122 µm2
- Standardflächenabweichung
- 352 µm2

- Menge
- 3162 Zellen
- Durchschnittsfläche
- 68 µm2
- Standardflächenabweichung
- 186 µm2

- Menge
- 1190 Zellen
- Durchschnittsfläche
- 222 µm2
- Standardflächenabweichung
- 416 µm2
Verwendung des kompakten Fluoreszenzmikroskops BZ-X
- Wenn die Probe aufgrund ihrer Größe außerhalb des Betrachtungs- und Messbereichs fällt, lassen sich mithilfe des motorisierten Objekttisches hochauflösende Aufnahmen der gesamten Probe erfassen und anschließend in einem einzigen Bild zusammensetzen.
- Selbst bei geneigten Proben oder Proben mit Höhenunterschieden ist es möglich, ein Bild zu erstellen, auf dem die gesamte Probe scharf ist. Dabei werden mehrere Bilder in Z-Richtung erfasst und nur die Teile gestapelt, die scharf sind.
- Alle dicht anliegenden Adipozyten können extrahiert und gezählt werden. Dies erfolgt mit der hybriden Zellzählung.
- Die für die Berechnung und Messung der Adipozytenverteilung verwendeten Bedingungen können angewendet werden, um einen Stapel mehrerer Bilder schnell zu verarbeiten.
- Weitere Beispiele für den Einsatz des kompakten Fluoreszenzmikroskops BZ-X in der Forschung:
- [Myelodysplastische Syndrome (MDS)] Stitching, Sectioning und die Z-Stapelfunktion als entscheidende Argumente für die Anschaffung des Fluoreszenzmikroskops BZ am Universitätsklinikum Düsseldorf
- [Neuropathologie] Perfekte Lösung für den diagnostischen Alltag in der Krankenversorgung und der klinischen Forschung am Institut für Neuropathologie der Charité in Berlin
- [Regenerative Medizin] Essentielle Bildgebung für die Betrachtung der gesamten Wirbelsäule
- [Gentherapie] Probenbetrachtung in der Hirnforschung
- [Behandlung von Herzkrankheiten] Einfache Betrachtung vom gesamten Rattenherz bis hin zu dessen Zellen
- [Krebsbehandlung] Fluoreszenzmikroskop mit integrierter Dunkelkammer verändert die Forschung in starkem Maße
- [Immunsystem] Beitrag der Modellreihe BZ zum Verständnis des pathologischen Asthmamodells
- [Biomaterialien] Förderung der Effizienz in der Forschung mit kompakten, benutzerfreundlichen Mikroskopen


