Betrachtung und Messung von Leistungshalbleitern mit einem Digitalmikroskop
Im Gegensatz zu typischen Halbleitern, die Daten verarbeiten, wie z. B. CPUs und Speicher, steuern Leistungshalbleiter elektrische Ströme und werden als Leistungsbauelemente bezeichnet. In diesem Abschnitt werden Beispiele für die Betrachtung und Messung von Leistungshalbleitern (Leistungsbauelemente) mit einem Digitalmikroskop vorgestellt.

- Was ist ein Leistungshalbleiter?
- Funktionen von Leistungshalbleitern
- Arten und Eigenschaften von Leistungshalbleitern
- Beispiele für die Betrachtung und Messung von Leistungshalbleitern mit einem Digitalmikroskop
Was ist ein Leistungshalbleiter?
Obwohl nicht eindeutig definiert, werden Halbleiter, die eine große Menge an Spannung und Strom steuern und einen Nennstrom von 1 A oder mehr haben, allgemein als Leistungshalbleiter bezeichnet.
Funktionen von Leistungshalbleitern
- Wechselrichter:
- Wandelt Gleichstrom (DC) in Wechselstrom (AC) um.

- A: Wechselrichter
- a: Gleichstrom
- b: Wechselstrom
- Gleichrichter:
- Wandelt Wechselstrom (AC) in Gleichstrom (DC) um.

- A: Gleichrichter
- a: Wechselstrom
- b: Gleichstrom
- Frequenzumformer:
- Wandelt die Frequenz von Wechselstrom (AC) um.

- A: Frequenzumformer
- a: Wechselstrom
- Regler:
- Wandelt die Gleichspannung (DC) um.

- A: Regler
- a: Gleichstrom
Arten und Eigenschaften von Leistungshalbleitern
Leistungsdiode
Funktion: Gleichrichtung
Leistungsdioden leiten den Strom in eine Richtung, ohne zu schalten.
Leistungstransistor
Funktion: Umschaltung und Verstärkung
- Thyristor
- Thyristoren waren die ersten Leistungstransistoren, die verfügbar waren, und zeichnen sich durch eine hohe Spannungsfestigkeit aus.
- Leistungs-Metall-Oxid-Halbleiter-Feldeffekttransistor (MOS FET)
- Leistungs-MOS-FETs zeichnen sich durch hohe Geschwindigkeit und hohe Frequenz aus. Diese Leistungstransistoren werden üblicherweise für Produkte mit einer niedrigen Spannungsfestigkeit von bis zu ca. 200 V verwendet. Sie kommen häufig in IT-Geräten wie Laptops zum Einsatz.
- Bipolartransistor mit isolierter Gate-Elektrode (IGBT)
- IGBTs zeichnen sich durch hohe Spannungsfestigkeit, hohe Geschwindigkeit und hohe Frequenz aus. Diese Leistungstransistoren werden in der Regel für Produkte mit einer mittleren bis hohen Spannungsfestigkeit von 200 V oder mehr verwendet. Dazu gehören Elektrofahrzeuge, Hybridfahrzeuge und Eisenbahnwaggons.
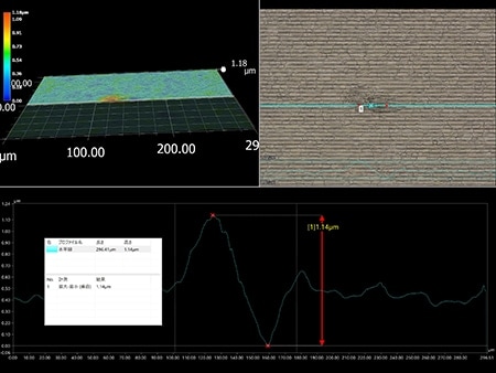
Beispiele für die Betrachtung und Messung von Leistungshalbleitern mit einem Digitalmikroskop
Im Folgenden werden die neuesten Beispiele für die Betrachtung und Messung von Leistungshalbleitern mithilfe eines Digitalmikroskops der Modellreihe VHX von KEYENCE vorgestellt.


Betrachtung eines defekten Teils an einem Leistungshalbleiter
Oberflächenunregelmäßigkeiten werden im optischen Schatteneffekt-Modus sichtbar. So lässt sich schnell feststellen, ob fehlerhafte Bereiche durch Adhäsion oder Dellen verursacht wurden.


Betrachtung eines Materials für Leistungshalbleiter-Wafer
Die Funktion zur Optimierung von ringförmigen Reflexionen beseitigt Reflexionen auf den Oberflächen.


Betrachtung von Füllmaterial in einem Leistungshalbleiter-Kunststoff
Die Verwendung der HDR-Funktion verbessert den Kontrast und ermöglicht eine Profilmessung des Füllmaterials.




