Um alle verfügbaren Funktionen auf dieser Website nutzen zu können, muss in Ihrem Browser JavaScript aktiviert sein.
069 654 000
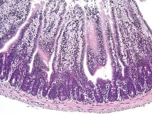
Eine hochempfindliche, gekühlte CCD-Kamera eliminiert Rauschen und erfasst klare, hochauflösende Bilder, die für Publikationen geeignet sind. Das System kann selbst dicke Proben erfassen und bietet eine konfokalähnliche Bildqualität.
Ein motorisierter Objekttisch kann mehrere Objektträger schnell scannen und hochauflösende Bilder aufnehmen. Mit einer verbesserten Bildqualität können Benutzer ihre Proben besser analysieren.
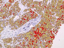
Quantifizieren Sie die Ergebnisse von Bildern, die in Fluoreszenz, Hellfeld und Phasenkontrast aufgenommen wurden. Speichern Sie die Einstellungen und führen Sie Stapelanalysen für eine benutzerunabhängige, wiederholbare Quantifizierung.
Die Aufnahmebedingungen werden mit jedem Bild zur wiederholbaren Beobachtung im Verlauf eines Experiments gespeichert. Laden Sie ein beliebiges Bild, um die Ergebnisse automatisch zu reproduzieren.
Mehrfarben-Fluoreszenz
XY-Bildzusammensetzung
Automatisierte Quantifizierung
Hochauflösende Aufnahmen
Mehr Informationen sowie Anwendungsbeispiele erhalten Sie in der folgenden Broschüre.
Bitte registrieren Sie sich, falls Sie über keinen Account verfügen.
Bitte füllen Sie dieses einfache Registrierungsformular aus. Nach Ausfüllen des Formulars klicken Sie unten auf der Seite auf die Taste „Absenden“.
+93 Afghanistan +355 Albanien +213 Algerien +684 American Samoa +376 Andorra +244 Angola +268 Antigua und Barbuda +54 Argentinien +374 Armenien +994 Aserbeidschan +61 Australien +242 Bahamas +973 Bahrein +880 Bangladesch +246 Barbados +32 Belgien +501 Belize +229 Benin +441 Bermudas +975 Bhutan +591 Bolivien +387 Bosnien und Herzegowina +267 Botswana +55 Brasilien +673 Brunei +359 Bulgarien +226 Burkina Faso +257 Burundi +56 Chile +86 China +506 Costa Rica +49 Deutschland +253 Djibouti +767 Dominica +809 Dominikanische Republik +45 Dänemark +503 El Salvador +225 Elfenbeinküste +593 Equador +291 Eritrea +251 Estland +372 Estland +679 Fiji +358 Finnland +33 Frankreich +594 Französisch Guayna +241 Gabun +220 Gambia +995 Georgien +233 Ghana +473 Grenada +30 Griechenland +502 Guatemala +224 Guinea +245 Guinea-Bissau +592 Guyana +509 Haiti +504 Honduras +852 Hong Kong +91 Indien +62 Indonesien +964 Irak +98 Iran +353 Irland +354 Island +972 Israel +39 Italien +876 Jamaika +81 Japan +967 Jemen +962 Jordanien +855 Kambodscha +237 Kamerun +1 Kanada +243 Kongo, Demokratische Republik +238 Kapverdische Inseln +7 Kasachstan +974 Katar +254 Kenia +996 Kirgisien +686 Kiribati +57 Kolumbien +269 Komoren +242 Kongo +385 Kroatien +53 Kuba +965 Kuwait +856 Laos +266 Lesotho +371 Lettland +961 Libanon +231 Liberia +218 Libyen +423 Liechtenstein +370 Litauen +352 Luxemburg +853 Macau +261 Madagaskar +265 Malawi +60 Malaysia +960 Malediven +223 Mali +356 Malta +212 Marokko +382 Montenegro +692 Marshall-Inseln +222 Mauretanien +230 Mauritius +389 Mazedonien +52 Mexiko +691 Mikronesien +373 Moldavien +377 Monaco +976 Mongolei +258 Mozambique +95 Myanmar +264 Namibia +674 Nauru +977 Nepal +64 Neuseeland +505 Nicaragua +31 Niederlande +227 Niger +234 Nigeria +850 Nordkorea +47 Norwegen +968 Oman +92 Pakistan +680 Palau +507 Panama +675 Papua-Neuguinea +595 Paraguay +51 Peru +63 Philippinen +48 Polen +351 Portugal +383 Republik Kosovo +250 Ruanda +40 Rumänien +7 Rußland +685 Samoa +378 San Marino +239 Sao Tome und Principe +966 Saudi Arabien +677 Salomonen +46 Schweden +41 Schweiz +787 Senegal +221 Senegal +381 Serbien +248 Seychellen +232 Sierra Leone +263 Simbabwe +65 Singapur +421 Slovakei +386 Slovenien +252 Somalia +34 Spanien +94 Sri Lanka +869 St. Kitts & Nevis +758 St. Lucia +784 St. Vincent und Grenadinen +249 Sudan +597 Surinam +268 Swaziland +963 Syrien +27 Südafrika +82 Südkorea +992 Tadschikistan +670 Osttimor +886 Taiwan +255 Tansania +228 Togo +66 Thailand +676 Tonga +868 Trinidad und Tobago +235 Tschad +420 Tschechien +216 Tunesien +993 Turkmenistan +688 Tuvalu +90 Türkei +1 USA +256 Uganda +380 Ukraine +36 Ungarn +44 United Kingdom +598 Uruguay +998 Usbekistan +678 Vanuatu +39 Vatikanstadt +58 Venezuela +971 Vereinigte Arabische Emirate +84 Vietnam +375 Weißrußland +260 Zambia +236 Zentralafrikanische Republik +357 Zypern +20 Ägypten +240 Äquatorialguinea +43 Österreich