• Anzahl bösartiger Tumorzellen MIB-1

  • Hybride Zellzählung

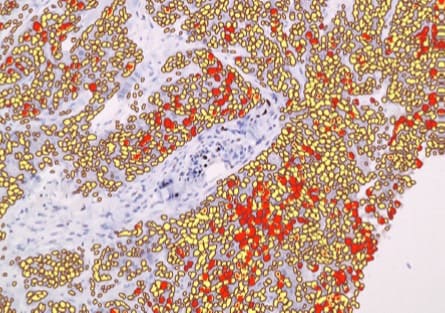
    Präzise Quantiifierzung von Zellen extrahiert aus
    • Fluoreszenz-
    • Phasenkontrast- oder
    • Hellfeldbildern

    Reproduzierbare, benutzerunabhängige Ergebnisse dank intuitiver Software.
    • Phasenkontrast oder Farbextraktion

      Anliegende Zellen lassen sich genau trennen und extrahieren. Entweder über ein Phasenkontrastbild, selbst wenn der Kontrast zwischen dem Messobjekt und dem Hintergrund gering ist, oder basierend auf Farbtonunterschieden und Helligkeitsinformationen. Selbst Zellhaufen lassen sich trennen und präzise quantifizieren.

    • Reproduzierbare Quantifizierung

      Messparameter, die für ein Bild festgelegt wurden, lassen sich einfach auf mehrere Bilder anwenden. Dadurch erhält man benutzerunabhängigere, zuverlässigere Daten in kürzerer Zeit. Werte, wie Auswahlbereich, Messzielbereich, Schwellenwerte oder Kolokalisierungseinstellungen, lassen sich hierfür ausgeben.

    • Stapelanalyse mehrerer Well-Platten

      Basierend auf spezifischen Messeinstellungen lassen sich, nicht nur für mehrere Wells, sondern für komplette Well-Platten automatisierte Stapelanalyse durchführen.

    • Datenausgabe im Tabellenformat

      Die Ergebnisse lassen sich nach der Zellzählung im Tabellenformat anzeigen. Dabei lassen sich u.a. Werte, wie Fläche, Umfang, Achse, Helligkeit, Durchmesser oder Anzahl ausgeben.

    • Phasenkontrast- oder Farbextraktion

    • Batchverarbeitung

    • Stapelanalyse

    • Tabellenformat

    Weitere Informationen sowie illustrative Anwendungsbeispiele erhalten Sie in dem folgenden Katalog.

    Um das Dokument herunterzuladen, bitte anmelden / registrieren

    Datenschutz ist uns wichtig - Ihre Daten werden niemals weitergegeben.

    Datenschutz

    Vorteile für registrierte Mitglieder

    • Unbeschränkter Zugriff auf unsere Online Dokumenten-Bibliothek
    • Schnelle Angebotserstellung
    • Einmalige Registrierung

    Registrieren

    Schritt 1/2

    Bitte geben Sie die nachstehenden Informationen ein, um Ihr KEYENCE-Webkonto zu erstellen. Diese einmalige Registrierung schaltet den unbegrenzten Zugang zu unseren Web-Ressourcen frei.

    Werfen Sie einen Blick auf Ihren E-Mail-Eingang!

    Wir haben Ihnen gerade einen Verifizierungslink an geschickt.
    Dieser ist für 24 Stunden gültig.
    Sie haben keine E-Mail erhalten? Bitte überprüfen Sie Ihren Spam Ordner.